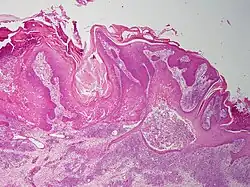
Isthmicoma
Macular and slightly papular lesions over the chin, mandibular and anterior cervical region

Isthmicoma (also known as "Infundibuloma,"[1] and "Tumor of the follicular infundibulum"[1]) are a cutaneous condition characterized by flat, keratotic papules of the head and neck, skin lesions that are usually solitary.[2]:676

Additional images

Follicular infundibulum tumor

See also

References

  1. 1 2 Rapini, Ronald P.; Bolognia, Jean L.; Jorizzo, Joseph L. (2007). Dermatology: 2-Volume Set. St. Louis: Mosby. ISBN 1-4160-2999-0.
  2. James, William D.; Berger, Timothy G.; et al. (2006). Andrews' Diseases of the Skin: Clinical Dermatology. Saunders Elsevier. ISBN 0-7216-2921-0.


This article is issued from Wikipedia. The text is licensed under Creative Commons - Attribution - Sharealike. Additional terms may apply for the media files.